HOME ≫ デンタルトピックスQ&A ≫
デンタルトピックスQ&A
- 1.目には歯を?
- 私自身もびっくりしました。目の治療に歯を使うなんて! これはスティーブンス・ジョンソン症候群(SJS)と診断された患者さんへ行った手術例です。
スティーブンス・ジョンソン症候群とは、突発的に皮膚、粘膜、眼が火傷状態となる重症型副作用です。解熱鎮痛剤、抗生物質、市販の風邪薬等ごく一般に使用している薬が原因となると言われております。
全身のかゆみと伴に皮膚に赤い発疹が現れ高熱を発します。特に唇や口腔粘膜がただれ、眼の充血が顕著に現れます。涙腺も障害を受けるためドライアイになり、徐々に角膜が障害され視力を失っていきます。
従来の角膜手術はドライアイの患者さんには適応にならないそうです。
そこで欧州では既に定着している歯根部利用人工角膜(osteo-odonto-kerato-prosthesis : OOKP)という手術を日本で初めて近畿大学の眼科と口腔外科の合同チームで行い成功したとレポートです。
大変申し訳ありませんが、私自身この手術を正確に理解していないので、簡単に説明させていただきます。
まず、神経を抜いたり、虫歯の治療をしていない犬歯(糸切り歯)をその周囲の骨ごと切り取ります。それを軸方向に骨と歯が厚さ3mmの1枚の薄板になるようにスライスします。
この薄板が人工レンズの基台となり、歯髄(歯の神経が入っている管)の部分に穴をあけ、ネジのような形状の人工レンズを通し歯科用セメントで接着するとのことです。
そしてできあがったレンズユニットを直ちに移植を行わない側の眼輪筋に挿入し肉芽組織を周囲に形成させます。その時に生きている歯髄が重要な鍵になるそうです。一方移植を行う眼は口の中の頬粘膜を円形に採取して眼の表面を強固に縫い合わせます。2〜3ヶ月後その粘膜をまくりあげ、患者さん自身の角膜中央に穴をあけて、虹彩、水晶体と硝子体の一部を切除してレンズユニットを角膜に固定するとのことです。
そして術後1ヶ月で視力は1.2まで回復したそうです。
本当にすばらしいことです。ぜひ日本でもこの手術が定着して多くの患者さんの目に光がもどることを願っております。
- 2.歯ぎしりと睡眠障害
- 歯ぎしり、いびき、ねぼけは睡眠中のパラソムニア(睡眠時随伴症)といわれています。
いびきは耳鼻科、ねぼけは精神科神経科、あるいは小児科などでかなり研究や治療が行われています。
歯ぎしりは、自分では気がつかず、人に指摘されてはじめてわかるもの。奥歯では最大50〜70kgもの力がかかり、歯ぎしりを続ける時間にもひと晩に5〜6分間、長い人では30〜40分間続く方もいます。歯ぎしりは6〜8%の人にみられ、性差や遺伝性はほとんど無く、一般には乳歯が抜けた10歳前後からり、加齢とともに減少するそうです。また、以前は咬合の不整と精神的なストレスが最も大きな原因であるといわれていましたが、現在では、両者の歯ぎしりにおける意味はそれほど大きなものではないと考えられています。
歯ぎしりの睡眠中の動作などを記録すると咬筋、側頭筋などの活動と、脳波に覚醒に近いアルファー波が出ます。また、特に自律神経系で覚醒反応が出るなど、寝いる間も身体の一部だけが起きてる状態に極めて近なっているということでした(極めて短い断眠(microarousals)による睡眠障害)。また、ある種の脳内化学物質に対する感受性が問題とも考えられています。しかしながら、未だ明確な病因は不明なようです。
歯ぎしりの分類
主に寝ている時、無意識に歯をかみしめてキリッキリッという音がでることを一般的に歯ぎしりと言います。歯ぎしりは医学的に3つに分類されています。
1.グラインディング
上下の歯をギシギシとこする状態で、一般的に歯ぎしりと言われるものです。就寝時におこるのがほとんどです。
2.クレンチング
上下の歯を咬み合わせたまま食いしばる状態です。音が出ないため歯ぎしりと思われることが少ないのですが、これを夜間だけでなく昼間もしている方が以外に多く、歯周病や顎関節症、う蝕の増悪因子となります。非常に悪影響が大きなタイプです。
3.タッピング
まるで物を食べているかのように上下の歯を噛み合わせカチカチと音を立てる歯ぎしりです。タッピングは歯ぎしりの中では少ないタイプです。
治療法
実は、現在でも決定打は無いのです。その治療は、個々の患者さまに合わせた対症療法的なものとなり、いわゆるマウスガードのような歯科用装置の使用、生活習慣の是正、そして薬物療法の3つを選択してあるいは併用して行います。
1.マウスガード
治療法として一番一般的なものが口の中に装着するマウスガードです。ただ就寝時の装着には違和感があり、慣れるまで苦労される方もいます。歯科用咬合装置は歯ぎしりの予防というよりは、歯や筋肉などを保護するという意味合いが強い。柔らかいマウスガードは短期の使用、硬いものは、よりシビアな歯ぎしりの治療に用いられます。
2. 薬物療法
薬物療法はマイナートランキライザー、筋弛緩剤、三環系抗うつ剤、そして咬筋肥大に対するボツリヌス毒素(最近美容外科でよく用いられるもの)などを用います。
3.生活習慣の是正
これは快適な睡眠環境を作ることが重要といわれています。例えば、就寝前の60〜90分は運動を避け、心身をリラックスさせることに努めます。またコーヒーなどの刺激のある飲み物やアルコールも就眠前は飲まないようにします。喫煙も筋の過緊張を増強し、眠りを妨げる歯ぎしりのリスクファクターと考えられております。
どんな病気を治すのでも、やっぱり睡眠をとることが重要なんですね。
- 3.体にやさしいお風呂の温度
- 寒くなると暖かいお風呂が恋しくなりますね。温泉の素とかいろいろな入浴剤を入れて体の芯まで暖めたいですよね。
一般にお風呂の温度で分けると高温浴(42℃以上)と微温浴(37〜39℃)があります。
高温浴(42℃以上)は交感神経を刺激して心拍数の増加や血管抵抗を上昇させますが、皮膚血流量の増加はないのでお風呂から出たあとの保温効果は低いです。微温浴(37〜39℃)は交感神経を抑制して血管を拡げて血流を2倍以上増加させます。皮膚血流量の増加は全身の血行を促進させ「体を芯から温める」感覚をもたらします。入浴法では一回浴より分割浴の方が保温効果は優れているそうです。39℃の浴槽に10分以上入っているよりも、5分入浴して3分出てまた8分入浴するといった入浴法で明らかに保温効果は長く持続するそうです。また、私も大好きな人工入浴剤(二酸化炭素泉、硫酸塩泉)も直接皮膚血管を拡張させるので保温効果を高めてくれます。
寒冷期はお風呂での事故が起こり易くなります。特にご高齢の方やお酒を飲まれてからの入浴に注意が必要です。寒冷期入浴の注意点というものが文献に載っていましたので列挙します。
入浴
1. 脱衣室を温暖にする(寒冷刺激による血圧上昇を防ぐ)。
2. 入浴前の部分浴(入浴時の血圧上昇を防ぐ)
3. 高温浴を避け、半身浴と静かな入浴を心がける。(高齢者は高温浴指向に傾くので微温浴の習慣をつける。)
4. ゆっくりした出浴(静水圧の急激な消失による脳貧血の発現を防ぐ)。
5. 石けんを使ったゴシゴシ洗いはしない(皮膚表面のダメージを避ける)。
出浴後
1. 水分をよく拭き取り、首にタオルを巻きバスローブに包まり体を休める。
(湯冷めを防ぎ、浴後は血圧低下状態になるので30〜60分は横になって休む)
2. 電解質を含むイオン飲料水の摂取(発汗、利尿による浴後の脱水に対しては最低500mlを必要とする)。
3. 冷水浴はしない(血圧の急上昇を防ぐ)。
4. 保湿クリームによるスキンケア(入浴中に溶出する保湿物質を補充し、浴後の皮膚乾燥を防ぐ)。
その他
1. 飲酒後の入浴は控える。
2. 食事前後や運動直後の入浴は避ける。
3. 就寝前は反復、ゆっくりした温浴(39〜40℃)を、朝は数分の高温浴でさっとすませる。
4. 寒暖の差が激しい露天風呂は避ける。
とありました。考えて見ると私自身ほとんど逆の入浴法ですね。水分補給は好みで言うと燃焼系アミノ式より福山Pカリスエットの方が好きですね。露天風呂がダメっていうのもちょっと厳しいですね。気持ちいいのに・・・
最後になりましたがお風呂に入っているときに、ついでに歯も磨きましょう。
- 4.妊娠すると歯が弱くなる?
- 昔からよく、「一子産むと一歯失われる」というようなことを耳にします。本当でしょうか?
確かに妊娠中に母親の歯の健康が損なわれることは多いようです。しかし、これは決してお腹の中にいる赤ちゃんが悪いわけではありません。
「赤ちゃんにお母さんの歯のカルシウムを取られるから」なんて話を聞くことがありますが、そんなことはありません。
妊娠中に歯が悪化する原因は唾液の性質が酸性になり、いわゆるエナメル質の表面脱灰(歯のエナメル質が剥がれたり、とけたりする)が起こることと、母体の体温の変化により口の中にいる細菌の活動が活発になるからと考えられています。また、食生活の変化(たとえば極端に柑橘類のような酸味や甘いものを好む)食事の回数が増える割に動作が緩慢になって歯みがきを怠りがちになる、あるいはつわりが強く歯みがきができないなどによるものです。
妊娠中に注意が必要な口の中の病気
1.むし歯
妊娠中は口の中の環境変化によりむし歯になりやすい状態にあります。今まで以上のブラッシング等の口腔ケアが重要です。
2.妊娠性歯肉炎、口内炎
妊娠2〜4ヶ月に起こりやすく、歯肉が赤く腫れあがり、出血しやすくなります。歯肉炎は歯肉のマッサージとプラークコントロールで十分治癒します。口内炎も口の中を清潔していればほっておいても2週間ぐらいでなくなります。
3.歯槽膿漏(歯周病)
妊娠性歯肉炎と重なると進行が速くなり、悪化すると歯がグラグラになってしまいます。ブラッシングだけでは治りません。歯周治療が必要です。
4.歯性中心感染症
歯の慢性化膿性炎症から体の他の部位に異常が起こることがあります。
5.その他の症状
精神的にも不安定な時期であり、口の中の違和感、顎の不調など不定愁訴もみられます。
妊娠時の口腔清掃
つわりは、朝の起床時や疲れのたまった夜、あるいは食後につらくなることが多いようです。吐き気のあるようなときに歯をみがくのは、とてもつらいことです。歯みがきは、食後が効果的ですが、食べた後のつらいときは避けて、体調のよい時間を見つけることが大切です。リラックスできるお風呂タイムや就寝前に1日1回きちんと歯みがきすることが重要です。
◆奥から前へかきだすように
つわりのある時は、喉に近い場所は吐き気をもよおします。できるだけ奥歯に歯ブラシを当ててから、前の方にかきだすように歯ブラシを動かしましょう。
◆顔を下に向けて磨く
歯をみがいたときに喉の方に唾がたまると、その刺激で吐き気がすることがあります(嘔吐反射)。なるべく喉の方に流れないよう、下を向いて歯みがきしましょう。
◆臭いの強い歯みがき剤を大量に使用しない
妊娠中は、臭いに対して過敏になることがあります。歯みがき剤の中に含まれている香料の強いものでは、臭いを嗅いだだけで気持ち悪くなることもあります。できるだけ香料の強くない歯みがき剤を使用するようにしましょう。
虫歯や歯周病のケアではあまり歯みがき剤の薬効は考えなくても良いかと思います。
妊娠期の食生活
赤ちゃんの歯は、乳歯はもちろん永久歯の一部もお母さんのお腹の中にいる間に作られていきます。妊娠して2ヶ月頃からつくられ始めて徐々に石灰化が進み固くなって妊娠6ヶ月頃にはだいぶ歯らしくなってきます。
赤ちゃんの歯の形成期につわりによる偏食、ビタミン欠乏やカルシウム不足、あるいはフッ素の過剰摂取やテトラサイクリン系抗生物質の服用、高熱や外傷などなど、赤ちゃんの歯に悪影響をおよぼします。
母体はもちろんのこと赤ちゃんのためにも健康には十分注意してバランスのとれた食生活をしましょう。
妊娠しているからといって全く歯科治療ができないわけではありません。早期発見早期治療。妊娠4〜7ヶ月の安定期に無理のない範囲で治療しましょう。
- 5.乳歯はとっても大切です
- 人の歯は一生に一度だけ生え替わります。乳歯は生え替わるからといっておろそかにしてはいけません。永久歯に生え替わるまでの重要な役割があります。あごの発達、顔の輪郭の形成、身体の発育、永久歯の歯ならびなどに影響します。
乳歯のむし歯を放っておくと・・・
乳歯はいずれ永久歯に生え替わるから治療しなくていいかなぁ・・・って思いがちですね。確かにグラグラで明日にも抜けそうな歯を痛い思いをさせて治療させることはありません。ただし乳歯にも重要な役割があり、長期的に虫歯を放っておくのは良くありません。乳歯のむし歯は永久歯の歯並びにも影響しますし、大きな虫歯になるとは乳歯のすぐそばにある永久歯は生えて来なかったり、形が悪くなったりすることもあります。もちろん歯の問題だけではなく、虫歯があるとソフトフードを好むようになり、小魚やエビフライのエビのしっぽもバリバリ食べたり(普通は食べないのかなぁ?)新鮮な野菜をそのまま食べたりもできなくなります。子供の味覚は大人に比べて繊細です。この時期に鍛えておかないとグルメにはなりません。また、いっぱい咬むことにより脳も活性化します。
このように、乳歯はこどもの成長にとって重要な臓器の一部です。
早めの治療を心がけましょう。
乳歯の名前と生える時期
個人差がありますので多少前後することがあります。
● 上 顎 ●
乳中切歯・・・・・7ヶ月半
乳側切歯・・・・・9ヶ月
乳犬歯・・・・・18ヶ月
第一乳臼歯・・・14ヶ月
第二乳臼歯・・・24ヶ月
● 下 顎 ●
乳中切歯・・・・・6ヶ月
乳側切歯・・・・・7ヶ月
乳犬歯・・・・・16ヶ月
第一乳臼歯・・・12ヶ月
第二乳臼歯・・・20ヶ月
生え替わりの時期
● 上 顎 ●
乳中切歯→中切歯・・・・・・・7〜8歳
乳側切歯→側切歯・・・・・・・8〜9歳
乳犬歯→犬歯・・・・・・・・11〜12歳
第一乳臼歯→第一小臼歯・・・10〜11歳
第二乳臼歯→第二小臼歯・・・10〜12歳
第一大臼歯(6才臼歯)・・・・ 6〜7歳
第二大臼歯・・・・・・・・・12〜13歳
第三大臼歯(親知らず)・・・・17歳〜
● 下 顎 ●
乳中切歯→中切歯・・・・6〜7年
乳側切歯→側切歯・・・・7〜8年
乳犬歯→犬歯・・・9〜10年
第一乳臼歯→第一小臼歯・・10〜12年
第二乳臼歯→第二小臼歯・・11〜12年
第一大臼歯(6才臼歯)・・・・6〜7年
第二大臼歯・・11〜13年
第三大臼歯(親知らず)・・・・17年〜
子どもの歯みがき
歯みがきは口の中の健康を保つためにはとても重要なことです。赤ちゃんでも歯が生えてきたその時から歯みがきが必要です。お子さんによって個人差はありますが次のことを目安にして下さい。
上の歯が生え始めたら
膝の上で赤ちゃんをあお向けに寝かせて水を含ませたガーゼを指先に巻き付けたり、ゴムでできた指サックブラシなどを使い、歯ぐきから歯の先端に向かって歯の表面の汚れをやさしく拭き取って下さい。このころは手にしたものを何でも口に入れたがるので、歯ブラシを遊びの中に取り入れ、歯ブラシに慣れさせましょう。また、ご両親は口の中を見る習慣を付けましょう。
1才になったら
朝と晩の2回小さなやわらかい歯ブラシ(子ども用の1番小さなサイズの歯ブラシ)を使って、やさしく歯面の汚れを取ってあげましょう。
1才6ヶ月〜2才頃
自我がだいぶ強くなり、一人で歯みがきをしたがります。お子さんと一緒に親も歯みがきをするとまねをして磨きます。不十分ですから必ず後で見てあげましょう。歯ブラシは子供の口の大きさにあったものを選んで下さい。
3才過ぎたら
不十分ながら一人でみがけるようになります。食べたら歯みがき、磨いたら見てもらうという習慣をつけましょう。ただし、乳歯のむし歯が急増する時期なので必ず仕上げみがきをしましょう。仕上げ磨き用ブラシ(ブラシ部分は小さくて柄の部分が長い)は奥まで届きやすいので最適です。みがいた後は忘れずにほめてあげましょう。
正しい歯みがきは習慣づけてしまえば少しも面倒なことはありません。お子様のためにも、しっかりと歯みがきを心がけましょう。
- 6.おやつはどんなのが良いの?
- おやつの時間は子供にとって、とっても楽しみなものですね。
昔子供の頃、カステラのコマーシャルで「3時のおやつは○○堂」なんて言うのがありましたが、あれは子ども心に『おやつは3時』って日課でありルールみたいに思っていました。
幼児のおやつは、通常の食事でとりきれない栄養素を補うという目的もあり、あまり神経質になって、楽しみであるおやつを取り上げてしまうのは、子供にとって悲しいことです。
ではおやつはどのようにあげればよいのでしょうか?
やはりおやつは食べる時間と量が大事です。
つねにおやつを食べていると当然3回の食事の時におなかがいっぱいで嫌いな食べ物をさけるようになり、好き嫌いがひどくなります。
また、虫歯になるかならないかはおやつを食べている時間が大きく影響します。だらだらとおやつを食べていると、歯に糖がふれている時間がながくなり、やがて酸ができ歯をとかします。
また、袋の中にいっぱい入っていて、まだまだ食べたいお菓子を「ハイ、そこまで」って言われてもなかなかやめられません。(私なんかでもあと1個とかあと1杯とかついつい言っちゃいます)
ですから目の前にあるおやつははじめから全部食べてよい量だけ出すようにしましょう。もちろんお父さんお母さんも同じです。ビデオをみながらずーっと飲んだり食べたりしていては虫歯にも肥満にもなっちゃいますよ。
おやつは1日1〜2回、時間は長くても30分、食べきってよい量をはじめにきめて出すようにしましょう。
どんなものを選べばよいのか?
おやつといえば、ケーキやジュース、スナック菓子など甘いものが多いようです。子供にとって甘いおやつはとっても魅力で大好きな食べ物です。最近はスナック菓子でも虫歯になりにくいものや、栄養素やカロリーが表示されているものもあるので参考にして下さい。
栄養を補うという点から考えると、必ずしもおやつは甘いものやスナック菓子である必要はありません。おにぎり、小魚、焼いも、果物、チーズなどもおやつに取り入れていきましょう。子供の“好きなもの”ではなく“必要なもの”を取り入れていく工夫が大切です。
私のところには長野県出身の優秀な歯科衛生士がおりますが、子どもの頃のおやつは、野沢菜や切り干し大根、なすの輪切りなどを入れた“おやき”を食べたそうです。
また飲み物にも注意が必要です。
清涼飲料水、スポーツドリンク、ジュースなどはカロリーを控えてあるもの
飲み物は牛乳、お茶、麦茶あるいは砂糖を入れずに搾ったジュースなども取り入れていきましょう。
歯に優しいおやつのレシピもあるのですが私個人的にはとっても美味しくなさそうなのでここでは書きません。
参考資料
・食品に含まれる砂糖類のおおよその量。
ポカリスエット(350ml) 23g、(350ml)38g
なっちゃん(350ml) 28g
ショートケーキ 25〜35g、プリン 20〜25g、あめ(1個) 5g
チョコレート(1枚) 15〜20g、ドーナツ 5〜15g
・エネルギー(カロリー)
ポテトチップス(1袋、107g)600kcal、キャラメルコーン(1袋、159g)898kcal、カール(1袋、90g)468kcal
おにぎり(1個、100g)180kcal、焼いも(100g)160kcal
※スナック菓子は主原料がデンプンや油脂のため、高カロリーのものが多く、例えばポテトチップス1袋でご飯3杯分ものエネルギーになります。これだけで小学生の1日に必要なエネルギーの25〜40%を摂ってしまうことになり、食事が食べられなくなったり、肥満の原因となります。
| 生 活 活 動 強 度 | ||||
| やや低い | 適度 | |||
| 年 齢(歳) | 男 | 女 | 男 | 女 |
| 3〜5 | 1350 | 1300 | 1550 | 1500 |
| 6~8 | 1650 | 1500 | 1900 | 1700 |
| 9~11 | 1950 | 1750 | 2250 | 2050 |
| 12~14 | 2200 | 2000 | 2550 | 2300 |
資料:厚生労働省「第6次改定日本人の栄養所要量」
なんだかんだ言ってもおやつは甘いお菓子が美味しいですよね。時間と量を守り、食べたあとはしっかり歯みがきをすればチョコレートだって、ケーキだって大丈夫です。
ちなみに私のおやつは“スッパイマン”!!www.amaume.co.jp
歯にも良さそうでしょ。
- 7.再発する口内炎の原因と治療
- 痛い痛い口内炎!
一口に口内炎と言ってもいろいろなものがありますが、最も一般的にみられみなさんを苦しめているものは、“再発性アフタ”と言われるものです。これには径が五〜六mm以下の小アフタと、それ以上の大きさの大アフタ、さらには小アフタが口の中に多数形成されるヘルペス型の三つに分類されます。
再発性アフタはその名のごとく、舌や歯肉あるいは頬の粘膜などとできる場所を変えて、しばしば再発を繰り返します。
アフタは丸く小さな浅い潰瘍をつくり、食事の時や歯ブラシなどの刺激で強い痛みを認めます。小アフタの場合には症状は軽く、放置しておいても5日〜1週間で治癒します。大アフタでも10日〜2週間くらいで治ることがほとんどです。
- 何で口内炎はできるの?
- ではできる原因はというと、残念ながら明確にはわかっていません。
最近ではいろいろ複合的要因による免疫異常が原因ではないかとか、また、HLA遺伝子産物との関連など遺伝子的要因が重要ではないかと考えられていますが、詳細は不明です。またヘリコバクター・ピロリとの関連や精神的・肉体的ストレスが生じた時に生じやすいともいわれています。
また、コーB2が不足してできるといった話を聞くことがあります。しかしながらコーヒーには、無機質とごく少量のカフェイン、テオフィリンが含有されるのみで他に糖、蛋白はほとんど含まれていないので医学的に直接的な因果関係はないものとされています。ビタミンB2も投与による口内炎の治癒促進は期待できないことにより、ビタミンB2との関係もないと考えられています。
- どーやって治すの?
- 慢性再発性アフタに対して根治的な治療法は現在のところありません。治療はもっぱら対症療法となります。
第一選択としてはみなさんもご存じの副腎皮質ステロイド製剤の軟膏(アフタゾロン、デキサルチン、ケナログなど)や、付着錠(アフタッチ)、または噴霧性粉末剤(サルコート)が多く用いられています。
これらに加えて、二次感染予防のための抗生物質の軟膏(テトラサイクリン軟膏)や、痛みを和らげる目的で使用する知覚鈍麻剤(アネステジン)、粘膜の保護と口の中の洗浄目的でアズノール系のうがい薬(アズレン、ハチアズレなど)などを補助的に使用します。
その他の薬としては、セファランチン(アレルギーを抑えたり、血流をよくするお薬です。免疫機能増強作用、造血機能の改善作用などがあります。円形脱毛症などの治療で使います。)やアゼプチン(抗アレルギー剤)漢方(温清飲、小柴胡湯)などが投与されることもありますが、効果は不確実です。
また最近では、催奇形性などの重大な副作用のために社会問題となった“サリドマイド”が、いくつかの難治性疾患に対する治療のオプションとして近年再評価されています。その対象となる疾患の中に“慢性再発性アフタ”が含まれていて、海外の複数の施設では一定の効果を挙げているようです。
- 薬以外の治療は?
- 昔は硝酸銀焼灼(患部に硝酸銀を塗布して焼く方法)、レーザー焼灼、凍結外科(患部を凍らせて壊死させる方法、イボとりでよく使う)などを行う歯科医院もありましたが、一時的に痛みを抑えたりと有効な場合もありますが、病変の再発を抑える効果はなく、かえって患部を大きくしてしまい治癒が遅くなります。適応はありません。とくに硝酸銀焼灼は基本的には行ってはいけません。
- 口内炎ができる他の病気はありますか?
- 慢性再発性アフタはベーチェット病との鑑別が重要です。
ベーチェット病とは、口腔粘膜のアフタ性潰瘍、外陰部潰瘍、皮膚症状、眼症状の4つの症状を主症状とする慢性再発性の全身性炎症性疾患で難治性の病気です。国の難病に指定されています。
4つの症状のうち口の中にできる再発性アフタ性潰瘍はほぼ必発(98%)で、口唇粘膜、頬粘膜、舌、更にさらに歯肉などの口腔粘膜に出現します。しかも初発症状であることが圧倒的に多くとても重要です。
個々のアフタ性潰瘍は10日以内に瘢痕を残さずに治癒することが多く、再発を繰り返すことが特徴的です。
口の中にできる病気は虫歯や歯槽膿漏だけではなく、放置していてはいけない病気(癌や難治性の粘膜炎、舌の病気など)もたくさんあります。
診断や治療も難しく、長期的に加療を要する場合もあります。口の中に何かできものができた場合はお早めに歯科を受診して下さい。
- 8.義歯の歴史
- 先日、患者さまが「時代劇で役者さんが叫んだり、笑ったりするシーンで、銀歯や金歯が見えたらおかしいよね」ってお話されていました。「ところで入れ歯はいつ頃からあるの?」と聞かれたのですが、その場では明確にお答えできませんでしたので、ちょっと調べてみました。
どーやら入れ歯らしきものは紀元前から作られていたようです。
抜けた歯を金の針金を巻き付けて固定したものと、4本の天然の歯と2本の象牙で彫った人工の歯を金線で結びつけた固定式ブリッジです。
これは紀元9世紀のマヤ人の上の前歯です。
ヒスイとトルコ石の装飾が施されています。
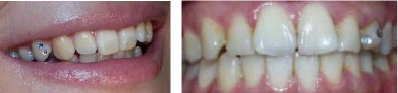
これは私が行ったティースピアス。
左の写真は右上の前から4番目の歯に2石、右の写真は左上の犬歯に2石ジルコニアを埋め込みました。笑うと”キラッ”って光ってきれいですよ。
-
-
これは私の手術したインプラント。
貝殻の代わりにチタンでできた人工の根を埋め込みました。
日本最古の入れ歯は、尼僧沸姫(1538年没)の木床一木造りです。日本の当時の入れ歯で特筆すべきことは、西洋の見かけを回復する目的の入れ歯と異なり、顎によく吸い付いて噛めることです。
安土桃山時代以降、仏像彫刻の注文が少なくなり、仏師は義歯をつくることで生活の糧にしたのではないかとされています。さらに、義歯を作ることを専門とする集団が現れ、彼らを口中入歯師と称するようになりました。また、彼らの中には義歯を作るかたわら、抜歯や口の中の治療も行う者がでてきました。これらのものを歯医者と称しました。
木を彫って作った義歯。
当時の上下の入れ歯の代金は、独身者が1年暮らせる額に相当したそうです。
これは私の作った入れ歯。
保険3割負担で約10,000円。安土桃山時代に比べると現代は保険制度もしっかりしていて良かったです。1年暮らせる額の入れ歯じゃそうそう作れませんからね。
それにしても素材は違いますが上の義歯と形はそっくりですね。
現在のようにプラスチックの入れ歯になったのは19世紀になってからみたいです。
なんだかんだ言っても古代から歯医者のやっていることは、穴掘って埋めることと、ない歯を付け足す、それでもダメならあごの骨に埋め込んじゃう、材質の進歩はあるものの基本的にはあまりかわってないみたいです。
古代の歯医者さんには負けないように、手作業に少しだけ科学を加えてより良い治療を行って行きたいと思います。
【参考文献】
「歯科の歴史おもしろ読本」
著者 長谷川 正康
文春新書118 「入れ歯の文化史 ————最古の「人工臓器」 」
著者 笠原 浩
- 9.味覚障害について
- 味覚障害は統計的に50〜70歳代が多く、高齢化に伴う食生活の変化や他疾患のための薬の服用量の増加による薬剤性障害の可能性が推測されます。
男女比は1対2と女性の方が多く、料理の味つけなどで気づく機会が多いためと思われます。
味覚障害には、味をまったく感じない味覚消失や味覚が全体的に低下する味覚減退、実際は何もないのに口の中で特定の味が持続する自発性異常味覚(苦味が最多)、本来の味の質をほかの味に感じる(甘いものが苦く感じるなど)異味症、ある特定の味のみがわからない(甘味だけがわからないなど)解離性味覚障害、すべて嫌な味に感じる悪味症などがあります。
また、舌痛や口内痛(口の中がしみる)、口腔乾燥なども随伴症状としてみられます。
原因の第1位は、薬剤性で(21.7%)、特発性(15.0%)、亜鉛欠乏性(14.5%)が三大原因であり、他に口腔疾患性や感冒罹患後、全疾患によるもの、鉄欠乏性、耳手術後(鼓索神経障害)、心因性などが挙げられます。
明確な診断基準や治療法といったものは確立していませんが、各原因の50〜60%に亜鉛欠乏が関わっているとの報告があります。特発性(潜在性亜鉛欠乏症)
原因や誘因となるものがはっきりしない味覚障害です。潜在性の亜鉛欠乏症(食事性)が多く含まれていると推察されています。亜鉛欠乏性
低亜鉛血症を唯一の異常所見とするもので、食事からの亜鉛摂取不足が主因といわれています。薬剤性
長期的な内服薬の服用や多種薬剤の服用で起こることがあります。
薬剤性は原疾患治療に支障がなければ、薬剤を減量・中止し、亜鉛内服療法を行います。口腔疾患性
口内炎,口腔真菌症,口内乾燥症,感冒による軟口蓋炎,放射線性の口腔粘膜炎などが挙げられます。その他、舌苔を気にして歯ブラシで舌を擦る、舌痛のために口内炎用の軟膏を舌に塗りすぎるなどの悪習慣も発症の一因となります。また、過度の喫煙により舌乳頭の角化異常を生じている場合などがあります。
このように口腔疾患がある場合は局所治療を優先させます。特に義歯を使用する高齢者の方は口の中や入れ歯に細菌、カビなどが繁殖しやすいので、口腔内を清潔にすることが重要です。
治療には亜鉛内服療法(硫酸亜鉛や亜鉛を含む消化性腫瘍薬のポラプレジンク)を3ヶ月ほど行うこともありますが、やはり重要なのは日頃の食生活と口腔ケアです。
以下のような食物に亜鉛が多く含まれています。バランスの良い食生活を心がけましよう。
魚介類(カキ・かずの子)、海草類(ひじき、のり)、種実類(ごま、大豆)、緑茶などがあります。
また最近、栄養補助食品として治療に用いるのに十分な亜鉛量を含む製品(ソルティア)が輸入され,デパートなどで市販されています。ノルウェー沖に生育するヒバマタ属の海藻を冷凍乾燥したもので,1粒当たり16.4mgの亜鉛を含有しています。
- 10.唾液はとっても大切です
- 体には多数の「腺(セン)」と呼ばれるものがあり、消化・呼吸を営んでいます。これらの腺のうち口の中にあるものを唾液腺といい、そこから分泌されるものを唾液と言います。唾液腺は、口の中に多数存在し、小さな腺「小唾液腺」と大きな腺集を作る「大唾液腺」があります。唾液のほとんどは大唾液腺から供給され、成人一日の唾液量は1000〜1500mlにもなります。
唾液は約30%が耳下腺(おたふく風邪で腫れるところ。頬の粘膜を舌で触ると、小さな突起がわかると思います。これが耳下腺の出口です。)、約65%が顎下腺(前歯の裏側のあたり)、約5%が舌下腺(舌の裏側)から供給されています。これでいつでも口の中が潤っているのです。
唾液は、視覚、嗅覚、食物刺激などによる自律神経の副交感神経刺激によって多くは漿液性唾液(サラサラした唾液)が分泌され、緊張などの交感神経刺激(消化液分泌を抑制)によって主に粘液性唾液(ネバネバした唾液)が分泌されます。
食事の時に良く咬むことで舌や顎を動かす筋肉が刺激され、またゆっくり味わうことにより味覚刺激などが唾液核を刺激し、唾液分泌を促進します。
また、ストレス刺激では分泌抑制作用が働くためA)が精神的ストレスの新しい指標として注目されています。唾液成分・機能
唾液の99%は水分で、その他の成分として唾液タンパク質があります。この唾液タンパク質には、アミラーゼ(歯の表面や食物のデンプンの分解・消化作用)、リゾチーム、ラクトフェリンなど(抗菌作用で感染を防止する作用)、ムチンなど(粘膜を保護し、発音、嚥下の補助作用)これらが重要な機能を果たしています。また、唾液にはプチアリンというでんぷんを分解する酵素が含まれています。そのため、食べ物を良く咬んでいるとプチアリンの働きによりデンプンが糖に分解されて甘味が感じられるようになります。
その他にも歯の石灰化を調節して歯質の成熟や保護に役立つもの、口の中を酸から守り中性に保つ緩衝作用もあります。
このように唾液の中には大切な物質が多く含まれていて色々な働きをしています。唾液の様な働きは、歯磨き粉やうがい薬ではとてもとてもまねできません。
たまに自分の唾液に感謝するといっぱい出てくるかも知れませんよ。
- 11.口腔乾燥症(ドライマウス)について
- ドライアイ(目が乾く)やドライスキン(乾燥肌)はよく耳にしますが、ドライマウス(口腔乾燥症)というものをご存じですか?これは唾液の出る量の不足や口呼吸などにより、口腔内が異常な乾燥状態になる病気です。
国内でのドライマウス人口は約800万人ともいわれ「ドライアイ」とともに徐々に注目され始めています。どんな症状?
唾液の99%は水分で、その他の成分として唾液タンパク質があります。この唾液タンパク軽度の場合はおもに口渇感だけですが、唾液による湿潤、粘膜保護作用が失われるため口唇や舌表面のひび割れ、口内炎の増加、味覚異常ひいては舌痛、摂食や発音、呼吸に障害が現れることもあります。また、唾液による自浄作用もなくなり歯・歯周への歯垢の蓄積による虫歯、歯周炎の進行を促すとともに、口臭の増悪を来します。そして、咀嚼、嚥下、会話などの口を用いる基本的動作が困難となっていきます。ドライマウスと口臭
唾液には洗浄、湿潤、抗菌、消化、粘膜保護作用等たくさんの役目があります。
唾液分泌量の低下により口腔内細菌は異常増殖し、産生する臭気物質により、口臭も当然強くなってしまいます。ドライマウスと虫歯・歯周病
唾液が不足すると唾液の各種作用が低下するため細菌の活動が活発になり異常増殖が始まります。細菌の産生する酸は歯の表面のエナメル質を溶かしむし歯を引き起こし、酵素や毒素は歯肉や粘膜に炎症を起こすだけでなく歯周病を引き起こしたり、悪化させたりします。ドライマウス(口腔乾燥症)の原因
ドライマウスは、唾液腺の機能低下による分泌量の減少以外に、水分喪失による脱水(腎性、腎外性)、唾液分泌刺激に抑制的に作用する薬剤の服用、精神的緊張などの感情や満腹の程度等、さまざまな因子に左右されます。一般的には、以下に大別されます。
ドライマウス(口腔乾燥症)の原因
ドライマウスは、唾液腺の機能低下による分泌量の減少以外に、水分喪失による脱水(腎性、腎外性)、唾液分泌刺激に抑制的に作用する薬剤の服用、精神的緊張などの感情や満腹の程度等、さまざまな因子に左右されます。一般的には、以下に大別されます。
1.腺因性
(シェーグレン症候群をはじめとする慢性萎縮性唾液腺炎、口腔癌に対する放射線治療による唾液腺萎縮など)
2.薬剤性
(副作用により口腔乾燥を生じる薬剤として、降圧薬、利尿薬、抗ヒスタミン薬、抗うつ薬、抗不安薬、鎮痛薬がよく知られています。これら以外にも口渇を来す薬剤は多くあり、日本医薬品集のデーターベースで副作用に口渇を挙げているもの約600種類にものぼるとされています)
3.全身性代謝疾患
(熱性疾患、脱水症、下痢、糖尿病、高血圧などに伴うもの)
4.神経性
(唾液分泌神経の障害・抑制が生じるような神経系に原因がある場合で、顔面・舌咽神経の障害や過度の精神的ストレス、自律神経障害、脳血管障害に伴う口腔機能障害による唾液分泌抑制など)
5.老人性口腔乾燥症
加齢により舌や咀嚼筋、口輪筋、頬筋などの口腔領域の筋力が低下し、噛む回数が減少し、これにともない唾液の分泌量も減少します。
また、高齢者では、高血圧、抗不整脈薬などの薬剤を服用している場合が多く、薬剤性の口腔乾燥を合併している可能性が高いと考えられます。
さらに、高齢者では歯の喪失率が当然ながら高く、不安定な義歯の使用により十分な咀嚼を行うことができず唾液分泌の低下を引き起こすことも考えられます。そして義歯を安定させるために唾液は重要であり、唾液の減少により義歯が不安定になってしまうといった悪循環になっていることが非常に多いです。
6.その他
食生活
あまり噛まなくても飲み込める軟らかい食事が主流となった現代人の食生活も原因の一つです。
口呼吸
いつも口を開けていると唾液が蒸発して口が渇く原因となります。
予防と対策
現代人は多くのストレスにさらされています。過度のストレスは交感神経と副交感神経のバランスを崩し唾液の量を減らします。適度な気分転換をとることが大切です。また年齢が上がるにつれて常用する薬が増えていく傾向があります。薬の量が増えてドライマウスの症状が現れることもあります。健康管理はどのような病気を治す上でも大変重要です。
ドライマウスは、いろいろな障害をもたらしますが、これらは原因を特定し治療すれば、多くは快方へ向かいます。また、継続した日常に口腔ケアも重要となります。
〔生活指導項目〕としては、以下のような事柄が挙げられます。
1.口腔内の湿潤に気をつける(頻回の水分補給、保湿剤の使用)
2.口腔清掃を心がける
3.咀嚼回数を増やす、ガムの咀嚼を行う
4.酸味で唾液分泌を刺激する
5.顎下腺・耳下腺のマッサージ
またドライマウスに対しては、唾液の分泌を促進する塩酸セビメリンやアネトールトリチオン、麦門冬湯や小柴胡湯などの漢方薬による治療や、局所治療法として頻回の含嗽、人工唾液の噴霧、最近ではドライマウスに対するケア商品として口腔内用保湿ゲル(オーラルバランス、オーラルウェット、絹水、ウェットケア等)が市販されています。
ドライマウス自己診断
・ いつも口渇感がある
・ 唇や舌が荒れやすい
・ 味覚異常がある
・ 飲み込みにくいことがある
・ 口臭がきになる
・ 喋りにくいことが多い
・ 呼吸器系の病気にかかりやすい
・ 常用薬がある
・ 重度のむし歯や歯周病がある
・ ドライアイがある
3つ以上該当したらドライマウスの疑いがあります。かかりつけの歯科医にご相談ください。






前歯が抜けたところに3本の貝殻で作った人工の歯が骨に埋め込まれています。この時代からインプラントはあったのですね。